Quick Insights:
- Problem: MRI scans vary significantly in contrast, noise, and orientation, making consistent tumor classification challenging across datasets.
- Solution: Implemented a multi-stage pipeline using augmentation → baseline CNN → transfer learning (EfficientNetB4) → tumor-region visualization. This ensured robustness while keeping the model lightweight and stable.
- Result: Achieved ~0.97 validation F1-score and smooth loss convergence. Transfer learning significantly outperformed models trained from scratch.
Introduction
This project focused on building a reliable MRI-based brain tumor classifier using supervised deep learning. Instead of relying on a single dataset, we combined four MRI datasets to improve model diversity and reduce overfitting. Augmentation played a key role in simulating clinical variations such as rotation, zoom shifts, brightness changes, and spatial distortions.
After evaluating a custom CNN built from scratch, we transitioned to transfer learning (EfficientNetB4) which delivered significantly better generalization on unseen MRI scans.
Dataset Preparation & Augmentation
Augmentation compensated for limited data and high MRI variability. Below are examples of synthetic samples generated from healthy (non-tumor) scans:
Baseline Model: Custom CNN
The baseline CNN served as a controlled experiment to understand the dataset’s complexity. It was intentionally simple, using two convolution layers and dense classifiers. The architecture below summarizes the layer progression:
While effective for initial exploration, the model plateaued in performance when exposed to more diverse MRI scans, motivating the use of transfer learning.
Transfer Learning Approach
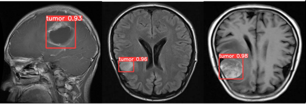
To achieve higher performance and generalization, we adopted EfficientNetB4 pre-trained on ImageNet and fine-tuned it for binary tumor classification. Transfer learning helped retain low-level features like gradients and textures while adapting high-level layers to MRI patterns.
This approach reduced training time, stabilized gradients, and consistently outperformed custom CNN results. Below are the updated final results using Transfer Learning.
Key Outcomes & Learnings
- Transfer learning (EfficientNetB4) achieved ~0.97 F1, outperforming CNN-from-scratch by a significant margin.
- MRI augmentation was crucial for robustness, especially rotation and zoom variations.
- Learned how MRI modalities differ and how to design augmentations that preserve diagnostic signals.
- The pipeline generalizes well across datasets due to layered approach: augmentation → CNN baseline → transfer learning.